Mucosa-Testing of VTG- Third-Party Evaluation Laboratory Experiments

Third Party Evaluation was conduted by US EPA for laboratory testing of fathead minnow. The comparative testing – of TecoVTG ® in mucosa was found to be equally indicative as qPCR. The comparision of plasma and mucosa testing showed that VTG induction is measurable earlier (after 2 days) in mucosa than in plasma (after 7 days). These results together with the internationally recognized validation data of GOBIO-GmbH Exceptional Paper Award.
justify the use of Matrix Mucosa in OECD/Reach testing instead of blood or homogenate testing.
The high level of quality assurance of the TecoVTG ® test with regard to both OECD/Reach specifications and general quality standards for diagnostic products make VTG determinations in chemical testing compliant and practicable.
Mucosa-Testing of VTG- Third-Party Evaluation Field Monitoring Study

TECO ® Salmonid Vitellogenin ELISA assay (protocol number TE1034) was used to assess exposure of salmonids to exogenous estrogen endocrine disruptors in a monitoring study. In addition, laboratory experiments were performed to validate the mucosa test. The authors conclude that the method is suited for detecting estrogen-mediated effects in juvenile brook trout.
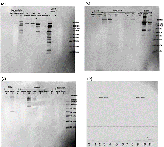
Mucosa Testing Vitellogenin
Proof of concept: Protein chemistry

Serum MALDI-TOF analysis of the 140 kDa band of goldfish exposed to 500 ng/L E2

Peptide mass fingerprinting against NCBI non-redundant database a Search engine: MASCOT; enzyme: trypsin.
Proof of concept: Molecular biology
(A) Estrogen receptors
(B) Goldfish vtg
(C) Carp vtg
(D) Zebrafish vtg
(E) Bluegill vtg (and tilapia vtg gene)
(F) Tilapia vtg
(G) Medaka vtg
(H) Fathead minnow vtg


Evaluation of sensitive enzyme-linked immunosorbent assays
Your article “Kinetic determination of vitellogenin induction in the epidermis of cyprinid and perciform fishes: Evaluation of sensitive enzyme-linked immunosorbent assays (ELISA)” was among the top 10 nominated articles based on scientific impact, public and professional interest, comprehension, and experimental design and quality
E-Mail on behalf of G. Allen Burton, Jr. Editor-in-Chief. Environmental Toxicology & Chemistry, from March 7th 2017 to the authors




